О нас
Добро пожаловать в Doctor Dent!
“Я — Дана Диасовна Абильдина, учредитель и генеральный директор сети стоматологических клиник Doctor Dent. Для меня важно, чтобы каждый пациент с первых минут в клинике чувствовал заботу, внимание и поддержку. Именно поэтому мы выстраиваем работу так, чтобы путь к здоровой и красивой улыбке был максимально комфортным и безопасным.”

Почему мы

01
Более 20 лет на рынке
Сеть клиник Doctor Dent существует с 2004 года, мы провели более 1 200 000 приемов и собрали базу лояльных клиентов.
02
Лучшие врачи
В наших клиниках работает команда опытных стоматологов, способных создать доверительные отношения с каждым пациентом. Благодаря этому лечение зубов проходит комфортно и безболезненно.
03
Лечение без боли
Комфортное лечение зубов во сне с применением наркоза для взрослых.
04
Гарантия качества
Мы гарантируем высокоекачество и эффективность процедур, соблюдение всех стандартов безопасности и гигиены.
Не нашли нужную услугу?
Смотрите полный каталог услуг
О нас в цифрах
Мы с гордостью предлагаем вам высококлассное стоматологическое обслуживание.
Установленных имплантов

Довольных пациентов
Проведенных приемов
Лечений во сне детей и взрослых
Работы
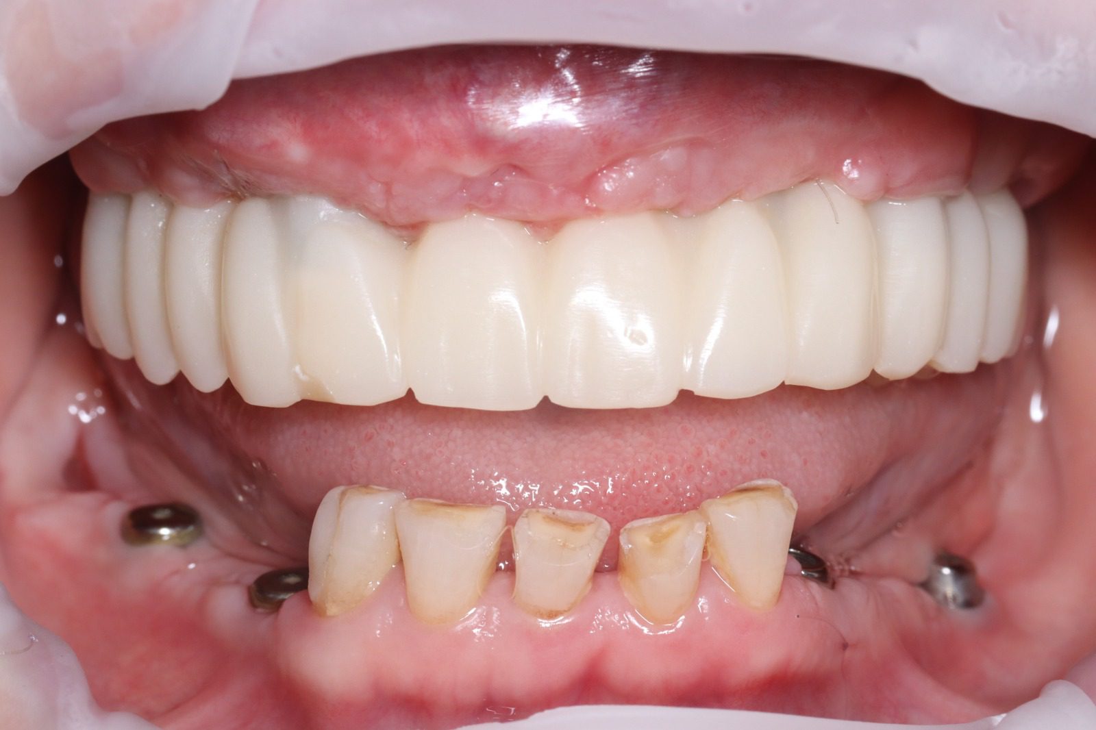
Фото работ наших врачей
Отзывы
Отзывы наших довольных клиентов
Подписывайтесь на наши социальные сети и следите за нами!
Отзыв
A
Куат Хасенов
9 отзывов
Подписаться
26 сентября 2024
Установил импланты через ЕНПФ у Фархода Абдуманоновича. Отличный профи, делали наращивание кости, всё безболезненно.
Отзыв
A
Алла Черкасова
1 отзыв
Подписаться
23 сентября 2024
Имплантация 2-х зубов у Лайчинова Сулеймана Мухамедовича. Быстро, без боли, «руки золотые».
Отзыв
A
Жанар Абайдильд…
2 отзыва
Подписаться
30 сентября 2024
Благодарность Сулейману Мухамедовичу и ассистенту Жомарту за профессионализм.
Отзыв
A
Абдуллаев Абдулл…
11 отзывов
Подписаться
31 июля 2024
Сложный случай, за который не брались другие. Хирург Фарход сделал всё на высшем уровне.
Отзыв
A
Фатима Омарова
4 отзыва
Подписаться
26 июля 2024
Сложный Лечат зубы всей семьей более 4-х лет. Очень довольна качеством и персоналом., за который не брались другие. Хирург Фарход сделал всё на высшем уровне.
Отзыв
A
Arailym Muratkanova
12 отзывов
Подписаться
22 мая 2024
Постоянный клиент. В восторге от работы Сулеймана Мухамедовича.
Отзыв
A
Гульнар Нигметжа…
2 отзыва
Подписаться
11 мая 2024
Рекомендует Лайчинова С. М. как вежливого и грамотного специалиста.
Отзыв
A
Наталья Русак
2 отзыва
Подписаться
2 ноября 2023
Рекомендует Лайчинова С. М. как Благодарит Жакупова Тимура Бериковича за внимательность и качественную установку имплантов. и грамотного специалиста.
Отзыв
A
Сара Калижанова
10 отзывов
Подписаться
9 июня 2023
Вся семья лечится у Тимура Бериковича. Отмечает современный подход и постоянное обучение врачей.
Блог
Полезные статьи о стоматологии
Острые боли после холодного и горячего: что это значит
Если зуб «стреляет» от глотка холодной воды или горячего чая — это не просто каприз…
Опасность самолечения при зубной боли
Зубная боль — один из наиболее точных индикаторов патологического процесса в полости рта. В отличие…
Как ухаживать за зубами во время ношения брекетов
Выравнивание прикуса брекетами — эффективная методика, но она длится не менее года. В связи с…
Как использовать пенсионные отчисления для лечения зубов?
Цены на стоматологические услуги продолжают расти, что делает доступ к квалифицированному лечению сложнее, особенно для…






